Имплантация зубов

Показать фильтр
Одномоментная имплантация
Одномоментная имплантация – это быстрый способ вернуть целостность зубного ряда за одно посещение стоматологического кабинета.
Несъемное протезирование на имплантах
Независимо от того, каким образом человек утратил зубы – в силу генетики, травмы или плохой гигиены, важно своевременно обратиться к стоматологу и восстановить зубной ряд.
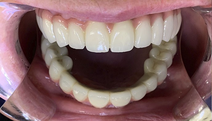
Имплантация передних зубов
Восстановление передних зубов – это одна из процедур, которая требует от врача высокой степени профессионализма и по возможности ускоренного решения проблемы.
Имплантация зубов All-on-4
Технология имплантации All-on-4 произвела революцию в протезировании, позволяя устранить полную адентию за один день.
Имплантация при полном отсутствии зубов
Если вам нужно восстановить зубной ряд по приемлемой цене и с гарантией качества, то записывайтесь к нашему стоматологу на консультацию!
Синус-лифтинг и костная пластика
Чем меньше человек пережевывает пищу, тем более ускоренными темпами идет утрата костного массива.
Имплантация зубов
Имплантация зубов включает несколько этапов, каждый из которых отвечает за свою сферу, но все одинаково важный и требуют высокого профессионализма.
Имплантация зубов верхней и нижней челюсти
Для различных видов зубов применяются разные способы имплантации.
Отзывы о нас
Очень рада что нашла такую клинику , делала здесь чистку , каждый зуб врач очень тщательно прошелся ультразвуком , идеально чисто . Для меня это важно потому что ношу брекеты и сложно соблюдать чистоту с ними . Была в разных клиниках и всё таки не дочищают , здесь осталась очень довольна )
Также удаляла здесь зуб мудрости , легко, безболезненно , кровило очень мало , очень быстро зажило , буквально на третий день уже как будто ничего не удаляли , ела на обоих сторонах.
Май 2025г. Проходила лечение у Рамазанова Альберта Алиловича, осталась довольна лечением, отношением ко мне. Быстро, качественно. Цены разумные. Я довольна.
Здравствуйте, Ирина! Большое спасибо за ваш отзыв! Мы рады слышать, что лечение у Рамазанова Альберта Алиловича прошло успешно. Также приятно знать, что вы оценили разумные цены на услуги.
Май 2025г. Отличная стоматология! Огромное спасибо! Подсказали, записали, процедура была на высшем уровне!!! Рекомендую!
Здравствуйте, Дмитрий! Большое спасибо за ваш отзыв! Мы рады слышать, что вы остались довольны обслуживанием в нашей стоматологии. Ваши рекомендации очень важны для нас, и мы стремимся предоставлять нашим пациентам только лучшее обслуживание.
Однозначно, высшая оценка! Профессиональный подход, уважительный персонал, качественное лечение и доступная цена! Рекомендую!
Здравствуйте, Анатолий! Благодарим вас за положительный отзыв и высокую оценку нашей работы. Мы стремимся предоставлять услуги на самом высоком уровне, и ваше признание является для нас важным стимулом.
17 мая 2025г. Спасибо огромное за мою улыбку. Думаю, что многие бояться стоматологов, но приходит момент, когда надо идти)))) Вот я 5 лет назад пришла к Кадыржану и ни капельки об этом не пожалела!!! Врач с золотыми руками, всегда доброжелательный, умеет успокоить и посоветовать, с чувством юмора))) Спасибо Вам огромное!!! Рекомендую всегда и всех обращаться в вашу клинику!!!
Как всегда, все просто идеально!!!! Лучшие! Я влюбилась, а значит постоянный клиент!
Апрель 2025 г. Давно хожу в эту стоматологию и это первый раз, когда я довольна абсолютно каждый раз. Очень профессионально и качественно делают зубы от чистки до реставрации зубов. Спасибо вам большое за внимательное отношение и доступные цены!
28 мая Пришла в стомотологию по рекомендации и не по жалела, девочки на ресепшен очень вежливо и грамотно все объясняют, была у врача хирург- ортопед Эгембердиев Бактыгул, устанавливали коронки, очень все грамотно и аккуратно прошло, после лечила кариес тоже вае прошло отлично!очень довольна этой стоматологии, рекомендую!
Май 2025 Благодарю за внимательное отношение и отличное качественное обслуживание. Не зря прилетела с Петропавловска-Камчатского. Зубки прекрасно смотрятся и крепко держатся. Доктору Кадыржану и всему коллективу желаю здоровья, благополучия и дальнейших успехов в вашем благородном и труде!
Май 2025 г. Хочу поблагодарить врачей клиники, замечательных врачей, отличных специалистов и хороших людей за их профессионализм, чуткое доброе отношение к клиентам. В клинике умеренные цены и высоко профессиональный подход. Все на высшем уровне. Для каждого находится самый лучший вариант. Ничего не навязывается., все разъясняется до мелочей. Если вы хотите привести в порядок зубы-можно не боясь обращаться сюда, Сделают все, что можно, чтобы клиенты остались довольны. Я пришла по рекомендации нескольких своих знакомых, все довольны. Я тоже очень довольна предложенным лечением, План лечения составлен в самом начале и вы уже знаете, как все будет происходить и сколько это будет стоить. Хочу отметить главного врача и врача широкого профиля и терапевта и хирурга — ортодонта Эгембердиева. Общение с этими людьми оставило только положительные эмоции. ;